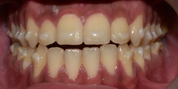
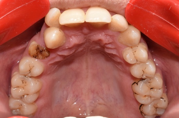
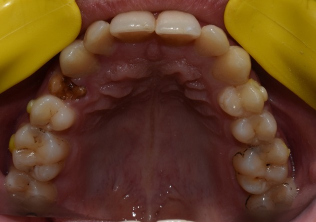
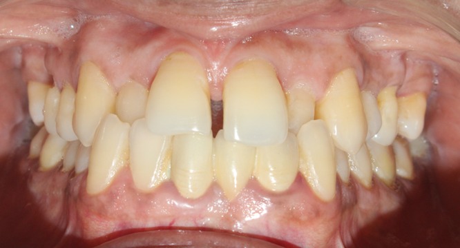
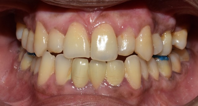
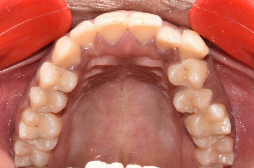
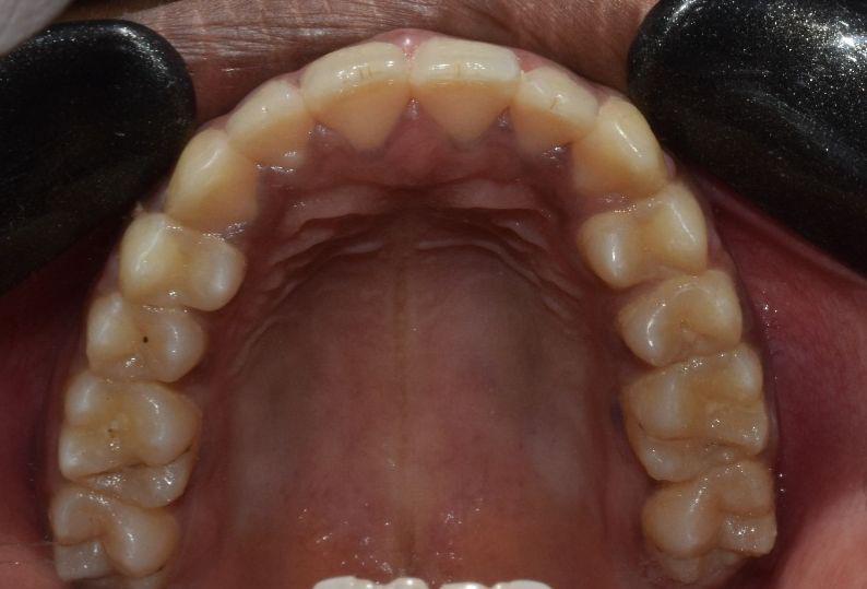
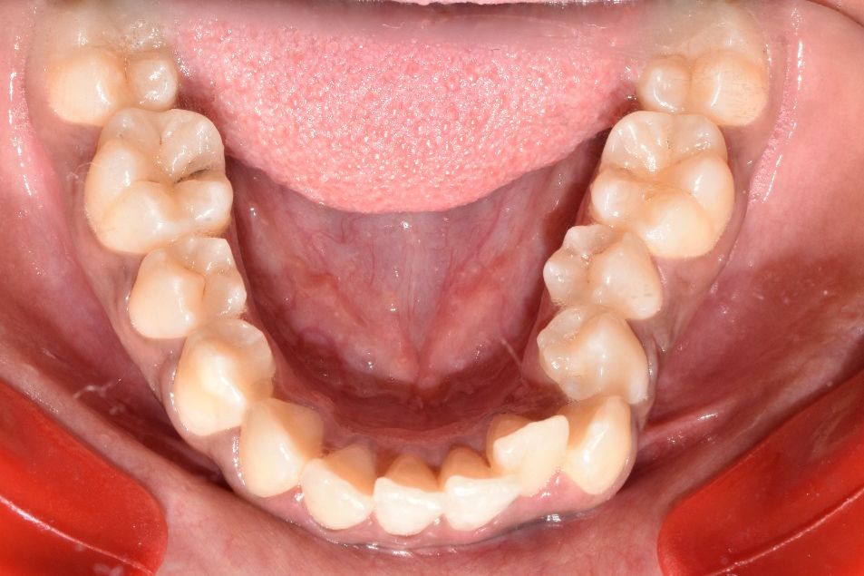
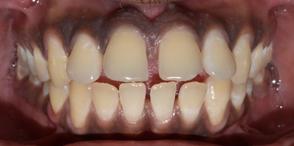
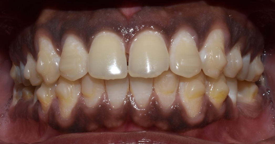
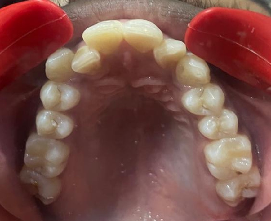
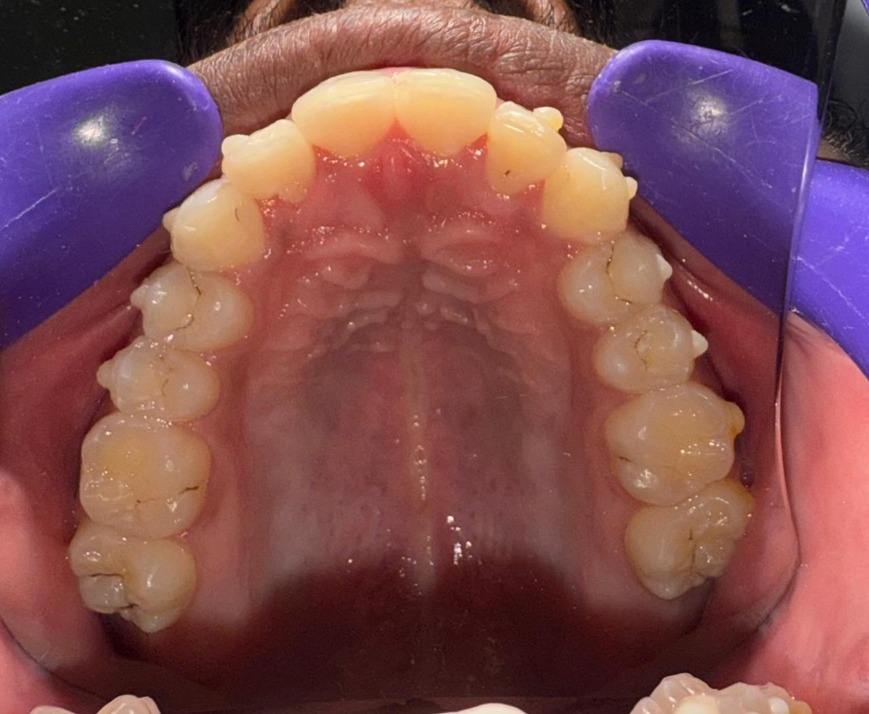
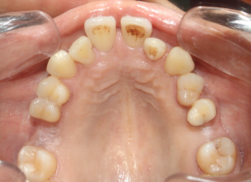
Before & After Results
At Aline Dent, we take pride in delivering visible and lasting improvements in our patients’ smiles. Our before-and-after results highlight the effectiveness of modern dental treatments combined with personalized care. This gallery showcases real dental cases treated at our clinic, giving you a clear idea of how different dental concerns can be corrected with the right treatment approach.
From minor corrections to complete smile enhancements, these teeth transformation results demonstrate how professional dental care can improve both oral health and appearance. Our experienced dental team carefully evaluates each patient’s needs and creates customized treatment plans to achieve natural, healthy, and confident smiles.
In this gallery, you will find a variety of smile makeover cases, including treatments for crooked teeth, gaps, discoloration, damaged teeth, and other common dental concerns.





























